Navigating through the complexities of dental health can be daunting, especially when faced with conditions that directly impact the integrity of our teeth. Two such conditions, often confused due to their similar visual presentation, are enamel hypoplasia vs fluorosis. The intricate battle of these delves into understanding these conditions, their causes, and how they can uniquely influence our oral health. Read on to unravel this dental duel and equip yourself with the knowledge you need to maintain your beautiful smile.
Understanding Enamel Hypoplasia
Enamel hypoplasia is a developmental condition that results in the inadequate formation of tooth enamel, the outermost layer of teeth. It is often characterized by thin or missing enamel that can affect either primary (baby) or permanent (adult) teeth.
Causes of Enamel Hypoplasia
Enamel hypoplasia can be attributed to a number of causes:
- Genetic Conditions: Certain inherited conditions, such as amelogenesis imperfecta can result in enamel hypoplasia.
- Environmental Factors: Exposure to environmental toxins or severe malnutrition, especially during the period of tooth development, can result in this condition.
- Medical Conditions or Medications: Medical conditions, especially those affecting calcium metabolism or specific medications taken during the period of tooth formation, can lead to enamel hypoplasia.
- Premature Birth or Low Birth Weight: These factors have been linked to a higher incidence of enamel hypoplasia.
- Trauma or Infection: Any injury or infection to a child’s tooth bud can interfere with enamel formation leading to hypoplasia.
Effects of Enamel Hypoplasia
Enamel hypoplasia can have several effects on dental health and overall well-being:

- Increased Tooth Sensitivity: Because enamel protects the inner layers of the teeth, thin or missing enamel can result in increased sensitivity to temperature or touch.
- Higher Risk of Cavities: With less enamel to protect the teeth, there’s a higher risk for dental cavities and tooth decay.
- Aesthetic Concerns: Teeth may appear discolored (usually a yellow or brownish hue) or have pits or grooves. This can lead to self-esteem issues related to the appearance of one’s teeth.
- Chewing Difficulties: In severe cases of enamel defects, the affected individual may experience difficulty or discomfort while eating.
Understanding enamel hypoplasia is essential to mitigate its potential impact and seek appropriate dental intervention as soon as possible.
How enamel hypoplasia looks like
Clinically, enamel hypoplasia is identified through visual examination by a dentist and is typically characterized by the following features:
- Thin Enamel: The most straightforward sign of hypoplasia is a noticeably thinner layer of enamel. Teeth affected by this condition often appear more transparent or translucent than healthy teeth.
- Pitted or Grooved Dental Enamel: The surface may show pits, grooves, or other irregularities. These defects can occur on any surface of the tooth and vary in depth and size.
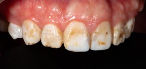
- Discoloration: Teeth may exhibit discoloration, typically yellow or brown. This discoloration is due to the dentin, the second layer of the tooth, being more exposed due to the thinner layer of enamel.
- Size and Shape Abnormalities: In some cases, enamel hypoplasia may affect the overall shape and size of the teeth. The teeth may be smaller than normal, or they may have a form that differs from typical tooth morphology.
- Increased Sensitivity and Tooth Decay: Clinically, patients often complain of increased sensitivity to hot, cold, and sweet substances. Additionally, the reduced enamel coverage makes the teeth more susceptible to decay, leading to cavities and other dental issues.
Remember, if enamel hypoplasia is suspected, it is essential to seek a professional dental evaluation. They can provide a definitive diagnosis and offer appropriate treatment options to manage the condition.
Shedding Light on Fluorosis
Fluorosis is a cosmetic condition that affects the teeth, characterized by the appearance of faint white lines or streaks on the teeth, often unnoticeable by anyone except a dental healthcare professional. It’s caused by consuming excessive amounts of fluoride over a long period when the teeth are still forming under the gums. Only children aged eight years and younger can develop dental fluorosis because this is the time when permanent teeth are still developing under the gums. Once the teeth break through the gums, you cannot develop enamel fluorosis.
Causes of Fluorosis
Fluorosis is caused by prolonged ingestion of excess fluoride exposure during tooth development. The primary sources of fluoride exposure include:
- Fluoridated Water: In areas where the natural water supply contains high levels of fluoride or in areas where the water supply is artificially fluoridated, there is a potential risk factor of fluorosis, especially if other fluoride sources are also used.
- Fluoride Supplements: Supplements containing fluoride are sometimes prescribed for children living in areas without fluoridated water. If these are given to children already receiving fluoride from other sources, the risk of fluorosis can increase.
- Fluoride Toothpaste: If children swallow significant amounts of fluoride toothpaste instead of spitting it out, over time, this could contribute to fluorosis.
- Certain Foods and Beverages: Some foods and beverages naturally contain fluoride or are prepared with fluoridated water, thus can contribute to the condition.
Effects of Fluorosis
The impact of fluorosis is primarily cosmetic:
- White Lines or Streaks: In mild cases of fluorosis, faint white lines or streaks may appear on the teeth.
- Staining and Pitting: In severe cases, the teeth can become discolored, showing brown stains, and the surface of the teeth can become pitted or rough.
- Psychosocial Impact: Severe dental fluorosis can lead to psychological distress due to cosmetic changes in the teeth.
While fluorosis can affect the appearance of teeth, it doesn’t affect their health or function. It’s worth noting that despite the risk of fluorosis, fluoride is crucial for preventing tooth decay, and its benefits far outweigh its risks when used appropriately.
Clinical signs of fluorosis

Clinical signs of fluorosis primarily relate to changes in the appearance of the tooth enamel. It’s worth noting that these signs can range from barely noticeable to quite pronounced, depending on the severity of the condition. Here are some of the common clinical signs of fluorosis:
- White Specks or Streaks: In the very mild to mild forms of fluorosis, the changes are often barely noticeable, characterized by tiny white specks or streaks that are often unnoticeable to anyone except a dental healthcare professional.
- Opaque White Areas: As the severity increases, larger opaque white areas may be seen on the surface of the teeth.
- Brown Staining: Moderate to severe fluorosis can result in brown staining of the teeth. These stains are different from those caused by coffee or tobacco use, and they cannot be removed by brushing or professional dental cleaning.
- Pitting of the Enamel: In the most severe cases of fluorosis, the enamel can undergo pitting or become rough. This creates small pits or dents in the surface of the teeth and makes them more susceptible to dental caries and plaque buildup.
- Structural Damage: In rare, extremely severe cases, the enamel may be structurally damaged, which might necessitate dental intervention to restore function and appearance.
These signs can be identified during a dental examination. Dentists can distinguish fluorosis from other dental conditions through a visual examination and by taking a patient’s history, including fluoride exposure and the time of tooth formation.
Enamel Hypoplasia vs Fluorosis: Key Differences
While enamel hypoplasia and fluorosis can both affect the appearance and health of teeth, they are distinct conditions with different causes, symptoms, and impacts. Here’s a direct comparison:
- Cause:
- Enamel hypoplasia is caused by factors that disrupt the formation of tooth enamel during tooth development, such as malnutrition, trauma to developing teeth, certain illnesses, or exposure to certain medications.
- Fluorosis, on the other hand, is caused by consuming excess fluoride during the time when the teeth are developing under the gums.
- Appearance:
- Enamel hypoplasia typically leads to thin or missing enamel, often appearing as pits or grooves in the teeth. It may also result in discolored teeth, typically yellow or brown.
- Fluorosis typically presents as faint white lines or streaks on the teeth in mild cases. In more severe cases, it can result in brown stains and pitting of the tooth surface.
- Effects on Dental Health:
- Enamel hypoplasia leaves teeth more vulnerable to decay and cavities due to the reduced amount of protective enamel. It also often results in increased tooth sensitivity.
- Fluorosis, in contrast, does not typically affect the health or function of the teeth. It is primarily a cosmetic issue, although severe cases can lead to pitting of the enamel and an increased risk of plaque accumulation. While both conditions involve the enamel of the teeth, they are quite different in terms of causes and effects. This makes it important to get a proper diagnosis from a dental professional if you suspect you or your child may have either condition.
Preventive Measures and Treatment Options
Prevention is always better than cure, especially in the case of dental health conditions like enamel hypoplasia and fluorosis. Here are some preventive strategies:
Enamel Hypoplasia Prevention
- Proper Nutrition: Ensure that expecting mothers and young children have a balanced diet rich in vitamins and minerals, especially calcium and vitamin D, which are vital for the development of healthy teeth.
- Regular Dental Check-ups: Regular dental visits from an early age can help identify issues before they progress into severe conditions.
- Avoiding Trauma: Protecting the mouth during physical activities using mouthguards can help prevent trauma that could potentially affect tooth development.
- Prompt Illness Management: Promptly manage chronic illnesses and avoid medications known to impact enamel formation during tooth development, when possible.

Fluorosis Prevention
- Monitor Fluoride Intake: Keep track of your child’s fluoride intake. If your tap water is fluoridated, consider using non-fluoridated water for mixing powdered or concentrated infant formula.
- Proper Use of Fluoridated Products: Teach your child to use only a pea-sized amount of fluoridated toothpaste and to spit it out rather than swallow it.
- Check with Dentist before Supplements: Before giving your child a fluoride supplement, check with the dentist in Miranda at Southern Smiles dental clinic to see if it’s necessary, especially if you live in an area with fluoridated tap water.
- Regular Dental Check-ups: Regular dental visits can help monitor the condition of your child’s teeth and provide professional advice on the use of fluoride.
Both enamel hypoplasia and fluorosis can have long-term effects on the teeth, so prevention is crucial. By following these preventive strategies, parents can play an essential role in protecting their children’s dental health. As always, regular dental visits are key to early detection and management of any potential issues.
Current treatment options for both conditions
Treatment for enamel hypoplasia and fluorosis depends largely on the severity of the condition and the related symptoms. Here are some of the current treatment options for both conditions:
Enamel Hypoplasia Treatment
- Dental Sealants: A protective coating can be applied to the teeth to prevent cavities and reduce sensitivity.
- Topical Fluoride Application: Dentists may recommend special toothpaste or mouth rinses with higher concentrations of fluoride to strengthen the teeth and prevent decay.
- Restorative Treatments: In cases where tooth structure has been lost, or there’s significant aesthetic concern, dental procedures such as bonding, veneers, or crowns may be recommended to protect the teeth and improve their appearance.
- Full Mouth Rehabilitation: In severe cases of enamel hypoplasia, a comprehensive approach involving orthodontics, periodontics, and prosthodontics may be required.
Fluorosis Treatment
- Teeth Whitening: For mild dental fluorosis, teeth whitening under the supervision of a dentist can help remove surface stains and improve the appearance of the teeth.
- Microabrasion: This involves the removal of a thin layer of enamel to minimize the appearance of stains caused by fluorosis.
- Dental Veneers or Crowns: For more severe cases of fluorosis where the staining is deep within the enamel or the enamel surface is pitted, dental veneers or crowns may be recommended to cover the discolored affected teeth and provide a more pleasing appearance.
- Composite Bonding: This treatment involves applying a tooth-colored composite resin to the teeth to improve their appearance.
It’s crucial to remember that each case is unique, and the treatment approach should be decided upon in consultation with a qualified dental professional. Early detection can also greatly influence the success of these treatment options. Regular dental check-ups are hence key in managing these conditions.
References:
https://en.wikipedia.org/wiki/Dental_fluorosis
https://bmcoralhealth.biomedcentral.com/articles/10.1186/s12903-018-0622-3
https://www.cdc.gov/fluoridation/faqs/dental_fluorosis/index.htm
https://crest.com/en-us/oral-care-tips/tooth-enamel/dental-fluorosis-causes-treatments-prevention





